Dental Services in Yorktown, VA
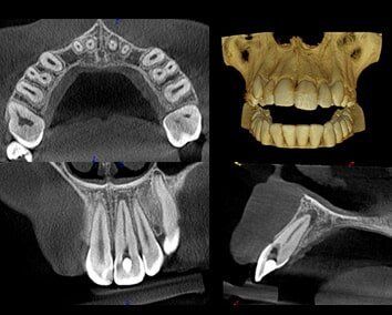
ROOT CANAL THERAPY
When a tooth breaks, cracks or has constant pain, treatment often involves removing an infected nerve. Other symptoms may include the inability to chew on a tooth, thermal (hot-cold) sensitivity, or swelling beside a tooth. Once the nerve is removed and thermos plastic/bioceramic sealer is used to fill the space left.
TEETH CLEANING & SCALING
NITROUS OXIDE/SEDATION
This is used for the patient who has “high anxieties” about dentistry or having a longer procedure done. This is a wonderful way to relax. A Nitrous Oxide/Oxygen mixture is provided through a soft, small, nose cove and is adjusted to suit each patients level of comfort. When the procedure is done, 100% oxygen is given for about 10 minutes, until the patient is fully alert. We monitor vital signs throughout this procedure and it is very safe.
TMJ-CLENCHING OR GRINDING
Some people are quite aggressive in clenching their teeth while they sleep and others actually grind them and wear them down. These activities are often associated with jaw joint pain (TMJ) and headaches or migraines. It can also lead to cracked or broken teeth as well as your teeth becoming loose or cold sensitivity. Most commonly this is treated with a variety of mouth guards or bite adjustments. In some cases, injections are done in the chewing muscles which is used to reduce pain and hyper-activity.
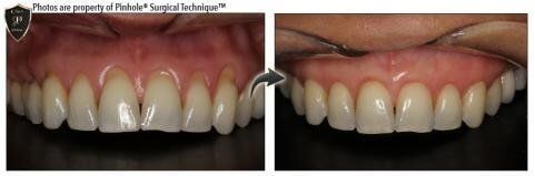
LASER GUM SURGERY
This technique involves using a dental laser which is used to remove gum tissue to improve esthetics by increasing the visible length of teeth or reducing deep gum pockets. Deep gum pockets are a part of gum disease.
TOOTH EXTRACTIONS
The simple or surgical removal of teeth which may utilize bone grafting to preserve the bone for a future implant. In some cases, an immediate temporary tooth or teeth can be prepared before the extraction is done to allow for a nice smile and to fill the gap.










































